ホワイトニング
ホワイトニングとは
簡単にいうと、薬剤を用いて歯を白く漂白することです。 診療室で行なうオフィスブリーチングと、自宅で行なうホームブリーチングがあります。 両者とも、過酸化水素が分解して生じる活性酸素による酸化反応で、有色物質を分解、脱色します。 通常、診療室で使われる薬剤は自宅で行なって頂くものと比較して、若干、取り扱いが難しく、主に、神経を取った歯に対して使われます。 ただ、ここでいう、神経を取った歯は、歯冠(歯茎から出ている部分)がほぼ残っていて、 神経を取った事によりその色が変色したという場合にのみ使われます。 ですから、差し歯などの被せ物には効果はありませんが、そういう場合の治療の方法もありますので心配はありません。



術前/DSCN5685
A3.5かA3の中間ぐらいの色です。/DSCN5687
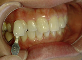
術後B1/ DSCN6215

色見本です。B1が一番白く続いてA1と 暗くなっていきます。



術前A4/DSCN5735
術後B1/DSCN6527
B1になりました。DSCN6536
神経が生きている歯のホワイトニング

ホワイトニングは保険で出来ない治療になります。
1. お口の中の診査
・ 今のお口の状況と希望の確認
・ 歯の状態の診査(虫歯が無いか)
・ 歯茎の状態の診査(歯周病は無いか)
・ レントゲン診査(歯の根っこの先に炎症が無いか)
このような診査を経て、問題が無いようなら、ホワイトニングに移ります。
しかし、早急に治療が必要な歯が見つかれば、その治療を済ませてホワイトニングをしていきます。
↓
2. お口の中の清掃
歯垢(細菌の排泄物)、歯石取りを行い、お口の中をある程度きれいな状態にします。
↓
3. 虫歯や歯周病の治療
早急に治療が必要な虫歯は取り除き、差し歯といった被せ物が必要な場合は一旦、仮歯に変えていきます。
そして、被せ物と漂白した歯の色が違わないように、漂白が終了した後に、その色に合わせて、白い詰め物、もしくは金属を入れていきます。
歯周病に関しては、その進行度に合わせた治療を行い改善がなされた後に漂白を行ないます。
↓
4. 歯の表面の着色の清掃
歯の表面には、食物による着色や茶渋、喫煙されている方はヤニなどが付いています。
それをエアーフローという機械を使って、落とします。
↓
ホワイトニング開始

(1)カスタムトレーの作成
型を採り、模型上でビニール素材のマウスピースを作成します。出来上がったら、お口の中で微調整をします。(上の歯から始めていき、歯の変化を確認して頂いた後、下の歯の漂白に移ります)
(2)薬剤の処方
薬剤ジェルを、必要量お渡しします。
(3)ブラッシング
漂白前に歯磨きをします。歯磨材の使用に関して、特に決まりはありません。
(4)漂白
シリンジと呼ばれる容器に入ったジェルを4分の1程度トレーに流します。それを歯に装着し、5時間はめたままにします。(就寝時の装着を勧めています)
(5)トレーをはずす
お口の中に残った、ジェルを洗い流します。はずしたトレーはきれいに洗い保管します。
これを4週間続けます。
神経を取った歯のホワイトニング
ホワイトニングは保険で出来ない治療になります。
神経の入っていた空洞の消毒を再度行ないます。
その後、その空洞の細菌感染を防ぐ為、閉鎖し、その上から漂白のお薬を入れて、もう一度蓋をします。
それを、日にちの間隔をあけて4、5回程度交換して、納得いく白さまで漂白します。