審美と矯正
うさぎ
審美
幸せな生活をするためには お口の良好な環境は 必要不可欠なポイントです。
お口は 噛む・発音(喋る)などの 重要な役割がありますが 現代社会においては
綺麗な前歯 綺麗な歯並びも 必要不可欠なポイントになりました。
審美と矯正は 切っても切り離せない関係です。
このページでは矯正とは関係していない審美の症例を掲載します。



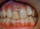
左の写真は向かって左の前歯がとても短いのがお分かりですよね。 右の写真は長くなってさし歯をやりかえた写真です。



向かって左の写真の左の2番目がかなり小さな歯になっています。矮小歯といいます。 向かって右の写真では普通の歯に治療しました 歯を削るんではなくそのまま型をとって貼り付けています。



前歯に隙間があります。全く削らずに白いプラスチック(歯科用レジン)で治療しました。



前歯の歯茎が全体的に降りてきて歯が短くなっています。 特に向かって左の前歯の歯茎はかなり降りてきております。 右の写真は治療後です。 歯がスマートに見えるようになりました。