審美と矯正
矯正
はたえ歯科では可能な限り歯を抜かない矯正をモットーとしております。
全ての患者さんで歯を抜かないで治療できるか?というと全てではありません。
しかし、現状の矯正治療は歯を抜かないで矯正治療が可能な患者さんもほとんどの患者さんに抜歯を適応する矯正治療が横行しています。
歯列不正の約80%は顎が小さい(歯槽堤が小さい)事が原因の場合です。
その小さい顎のまま矯正治療を進めようとすると必然的に歯を抜かなければいけなくなります。
![]() |
![]() |
|
| 取り外し可能な床矯正装置を使っての矯正です。いざという時矯正装置をはずせるので気楽に使って頂けます。 | こんな装置です。 | |
![]() |
![]() |
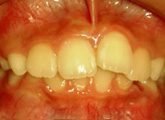
|
| 顎が狭いため前歯が前方に押し出されています。 | 3ヶ月の矯正でここまで改善します。 | |
![]() |
![]() |
適正な矯正治療をすれば 顎関節症や喘息・頭痛・肩こり・イビキ・口呼吸などの症状がかなり改善します。
歯を抜くと 適切な高度の技術が無いと改善が難しくなります。
はたえ歯科では 床矯正をメインで行っております。
基本的に私が出来る範囲の矯正治療を行い高度の技術や熟練が必要な抜歯の治療をしないといけない患者さんは提携の矯正歯科専門歯科院を紹介しております。
はたえ歯科にも大学から矯正専門医の派遣は 可能ですが、派遣された先生が10年後はたえ歯科に来てくれるかという問題が有り矯正歯科専門歯科医院を紹介することに決めております。
派遣の先生がたとえば鹿児島の先生でいずれ鹿児島に帰省して歯科医院を開業された場合はたえ歯科に治療に来てもらうのが不可能になります。
矯正治療は1年で終っても患者さんが18歳ぐらいまで定期健診が必ず必要になります。
定期健診を欠かすと矯正前の状態に後戻りする場合があります。
定期健診でいつの間にか 違う先生になってしまう事は患者さんも私も納得がいきません。
なので派遣の先生にはお願いしないという事をモットーにしております。
![]() |
![]() |
|
![]() |
![]() |
|
![]() |
![]() |
|
| こんなに出っ歯です。 | 3ヶ月でこんなに引っ込みました。人生が変わります!!! |











